202 North Avenue East, Cranford, NJ 07016

New Patients: (908) 214-7120
Existing Patients: (908) 276-2724
A dental professional in a white coat and mask is smiling at the camera, with a patient seated in a chair behind her.

Smile Gallery

A dental professional in a white coat and mask is smiling at the camera, with a patient seated in a chair behind her.
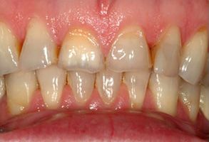
Image of a person s mouth with yellowed teeth and gums, showcasing dental decay.

Before

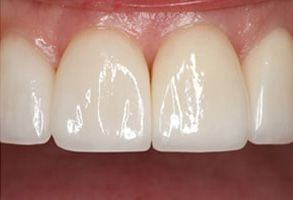
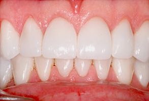
The image shows a close-up of a person s smile with white teeth, and the individual appears to be middle-aged or older.

After

The image shows a close-up of a person s teeth with a focus on their yellowish hue, likely indicating poor oral hygiene or dental issues.

Before

The image shows a close-up of a person s mouth with teeth and gums, focusing on the lower front teeth.

After

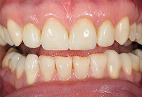
The image shows a close-up of a person s face with a wide smile, revealing white teeth and a dimple on the left side.

Before

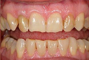
Alt  tag   A close-up image of a person s smiling face with teeth, showcasing a bright smile.

After

The image shows a close-up view of a person s teeth, with the lower front tooth prominently displayed.

Before

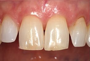
The image displays a close-up of a person s teeth and upper lip, showcasing a bright white smile with a focus on the dental work.

After

Image of a close-up view of a person s teeth with a focus on the lower front teeth, showcasing discoloration and possible dental issues.

Before

An image of a close-up view of a person s teeth, showcasing a professional dental cleaning with visible toothpaste and dental tools.

After

An image of a close-up view of a person s teeth with an emphasis on the lower front tooth, which appears to be discolored and possibly damaged.

Before

White teeth with a focus on the lower front teeth, set against a blurred background that suggests a dental office environment.

After

The image shows a close-up of a person s teeth, with a focus on an area where the teeth are discolored and stained.

Before

Dental implant with a visible screw head, showing the process of dental restoration.

After

Contact Us

Schedule your appointment online or give us a call to get started today.

BriteSmile Dental 202 North Avenue East, Cranford, NJ 07016
The image shows a blue letter  P  with a white background, presented in a distorted perspective that makes it appear as though the letter is bending or warping.
Clinic parking lot located behind the building.